透析

お問い合わせ

0745-31-2071

夜間透析を行っています。

午前
午後      
夜間      

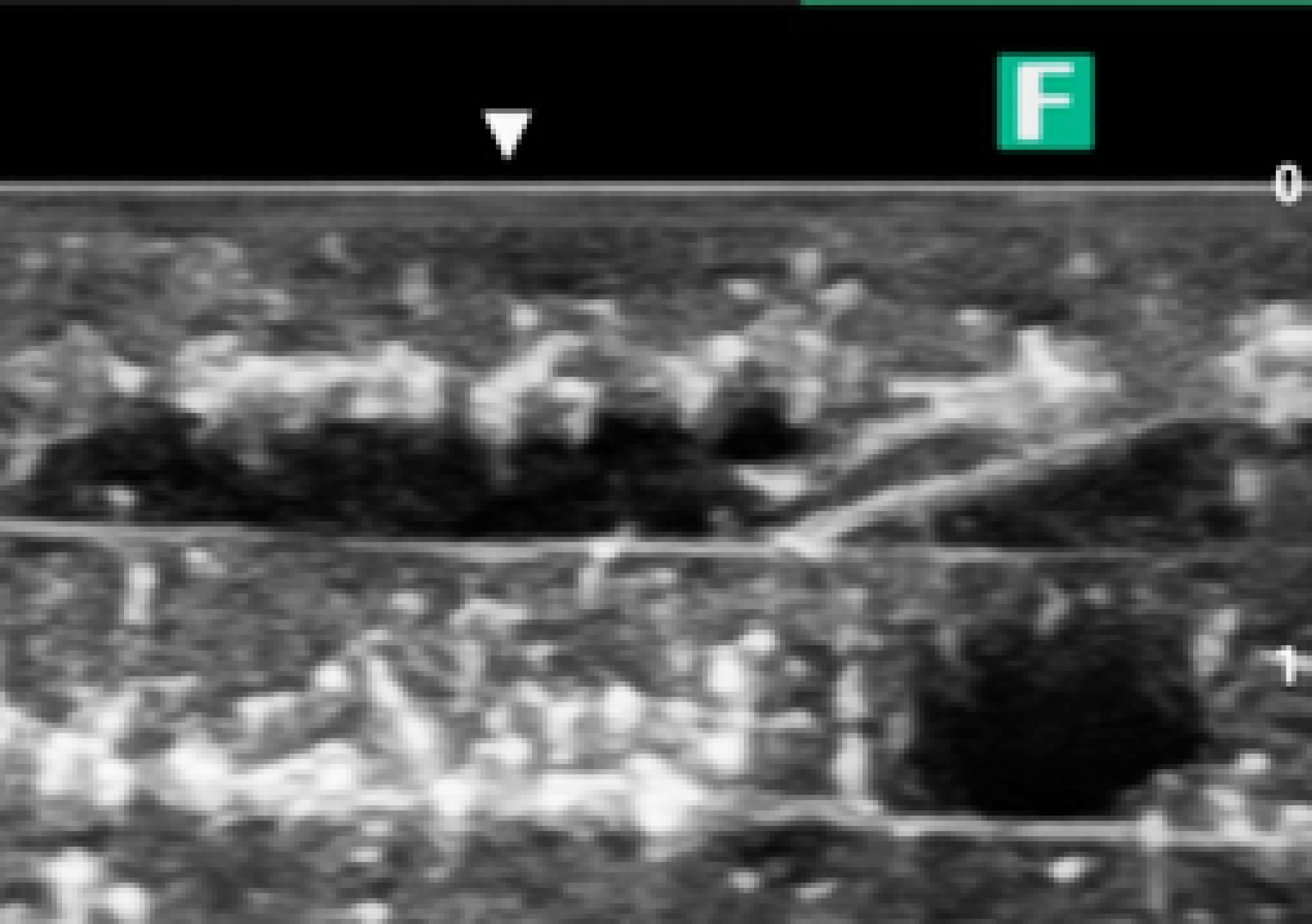
エコー下穿刺

エコー下穿刺とは、超音波診断装置を用いて穿刺(針を刺す)部位に超音波を当て、血管の状態(血管の深さ・位置・走行)を確認しながら穿刺する方法です。血液透析療法では、2本の針を刺し留置する事が必要になります。

穿刺が困難な患者様に実施しており、穿刺に伴う痛みを軽減しスムーズに穿刺を行えるように努めています。

ポータブルエコー下穿刺の様子
ポータブルエコー下穿刺の様子

エコー下での血管と穿刺針の様子
エコー下での血管と穿刺針の様子

ERGOTRI-NX JMS透析情報システム エルゴトライ

電子カルテと血液透析装置を連携し、バイタル・装置データ・メンテナンス情報などのデータの自動取集が可能です。また。透析記録用紙やメンテナンスレポートの作成をサポートします。電子カルテとオーダーリンクシステムと連携する事で情報共有を可能にし多様化した透析業務の効率化を図っており、安全な透析と提供しています。

透析患者様全員に定期的なフットケア

足は第二の心臓といわれるほど大切です。しかし免疫力の低下や石灰化、動脈硬化など、さまざまな理由によって血管が詰まってしまったり傷が治りにくくなることがあります。
このような事態を避けるため、当院では透析患者様全員に定期的なフットケアを行っています。日々のケアで足に異常がないかを確認し、白癬(水虫)や爪の異常の早期発見に努めています。
また必要時には爪きりや胼胝(タコ)削りを行い、日々のケアで重症化を予防して足を良い状態に保っていくことが当院のフットケアの目的です。 

コンソールの部品交換と定期点検の実施


安心安全な透析を患者様に提供できるよう、透析機器安全管理委員会を設置し、水質管理計画に基づいた透析液の管理に取り組んでいます。透析液水質基準2016年版をもとに透析液の清浄化を実施しています。また、安全対策として各医療機器等のメンテナンス、定期点検の年間スケジュールを立て計画的に実施しています。
2F機械室ではA/B棟用の透析液,C棟用の透析液をそれぞれ作成し3F透析室に送液しています。機械はすべてJMS社製で統一しています。

ABI測定(ABI:ankle brachial index)

足関節上腕血圧比とは、上腕と足首の血圧比を測定することで、動脈硬化の進み具合を調べる検査です。基準値は1.00~1.4です。1.4以上だと血管璧が固くなっている事や基準値以下だと血管が狭くなっている事が疑われます。当院では、下肢動脈疾患の早期発見の為に定期的に測定を行っています。

SPP測定(SPP:Skin Perfusion Pressure)

皮膚灌流圧測定とは、下肢虚血(足の血液の流れが悪い・遮断している状態)の重症度の評価・治療効果の判定に用いる検査です。皮膚表面の細かい血管の流れを確認する検査であり,下肢閉塞性動脈硬化症の重症度を評価できます。基準値は、50mmHg以上です。40~50mmHgで軽度の疾患、30~40mmHgで中程度の疾患、30mmHgで重篤な疾患として、下肢虚血が疑われます。

InBody測定

Inbody(医療用体成分分析装置)とは体内の水分量や筋肉量を測定する検査です。透析患者さんは、尿の排泄ができないため、体内の水分量を一定に保つ事が出来ません。したがって、体内の水分量を定期的に測定しDWを決定する指標として役立てています。また、全身・部位別の筋肉量を測定し、栄養状態の把握にも活用しています。

知識の共有のためにスタッフ同士で、定期的に勉強会を実施しています。セミナーや学会への参加を行い、知識の向上に努めています。
また、研究発表も行っており、様々な視点から知識を学ぶことで、今後の患者様への治療及びサービスの向上につながるように努力しています。

患者さまが自分自身の体に興味を持ち、合併症の予防や生活の質(QOL)の
向上に役立てて頂くため、定期的に勉強会を開催しています。

過去開催した勉強会のテーマ

 転倒予防教室

  透析患者様向けの採血データーの見方

  災害時に備えて

  シャント管理

看護師:8名

臨床工学技士:10名

看護助手:6名

 内 透析技術認定士:7名

   終末期ケア専門士:2名

   終末期ケア上級専門士:1名

   日本糖尿病療養指導士:1名

   慢性腎臓病療養指導看護師:2名 

   腹膜透析認定指導看護師:1名  

令和6年3月現在 常勤・非常勤含む

眩しくない間接照明で明るく快適。オゾン効果で清潔度も保たれています。

当クリニック送迎ルートに従い、送迎を行っています。ご希望の方は、ご相談ください。※介護が必要な方はご相談ください。


康成会では食事管理も治療の一環と考え、管理栄養士指導のもと業者より透析弁当を提供させていただいております。
(有料)

 

1食の目標栄養価 

エネルギー  550~650kcal
タンパク質  20~22g
カリウム    750mg未満
リン  300mg未満
塩分  2g以下

 

ページの先頭へ戻る